Production and Characterization of Recombinant Light Chain and Carboxyterminal Heavy Chain Fragments of Tetanus Toxin


PDF - Export to EndNote - PubMed Central XML format - PubMed Central XML format - PubMed Central XML format
PMID: 24285996 (PubMed) - PMCID: PMC3838766 - View online: PubReader
Volume 5, Issue 4, October-December , Page 220 to 226
Thursday, May 23, 2013 :Received , Friday, July 19, 2013 :Accepted



  • - Department of Immunology, School of Public Health, Tehran University of Medical Sciences, Tehran, Iran
    - Immunology Research Center, Tabriz University of Medical Sciences, Tabriz, Iran
    - Department of Immunology, School of Medicine, Tabriz University of Medical Sciences, Tabriz, Iran

  • - Monoclonal Antibody Research Center, Avicenna Research Institute, ACECR, Tehran, Iran
  • Corresponding author Department of Immunology, School of Public Health, Tehran University of Medical Sciences, Tehran, Iran, Tel: +98 21 88953021; E-mail: fshokri@tums.ac.ir
    - Department of Immunology, School of Public Health, Tehran University of Medical Sciences, Tehran, Iran
    - Monoclonal Antibody Research Center, Avicenna Research Institute, ACECR, Tehran, Iran


Abstract: Background: Light chain (LC) and heavy chain carboxyterminal subdomain (HCC) fragments are the most important parts of tetanus neurotoxin (TeNT) which play key roles in toxicity and binding of TeNT, respectively. In the present study, these two fragments were cloned and expressed in a prokaryotic system and their identity was confirmed using anti-TeNT specific polyclonal and monoclonal antibodies. Methods: LC and HCC gene segments were amplified from Clostridium tetani genomic DNA by PCR, cloned into pET28b(+) cloning vector and transformed in Escherichia coli (E. coli) BL21(DE3) expression host. Recombinant proteins were then purified through His-tag using Nickel-based chromatography and characterized by SDS-PAGE, Western blotting and ELISA techniques. Results: Recombinant light chain and HCC fragments were successfully cloned and expressed in (E. coli) BL21 (DE3). Optimization of the induction protocol resulted in production of high levels of HCC (~35% of total bacterial protein) and to lesser extends of LC (~5%). Reactivity of the His-tag purified proteins with specific polyclonal and monoclonal antibodies confirmed their renatured structure and identity. Conclusion: Our results indicate successful cloning and production of recombinant LC and HCC fragments of TeNT. These two recombinant proteins are potentially useful tools for screening and monitoring of anti-TeNT antibody response and vaccine production.

 

 


Introduction :
Tetanus is a highly fatal disease caused by a neurotoxin of a gram positive and anaerobic bacterium of the Clostridium genous, Clostridium tetani 1. TeNT and seven botulinum neurotoxins (BoNT/A-G) make the family of clostridial neurotoxins (CNTs), which are exclusively responsible for neuroparalytic syndromes of tetanus and botulism 2.
TeNT is produced as a single polypeptide (approximately 150 kDa) and subsequently cleaved to a two-chain active holotoxin, in which a 50 kDa N-terminal Light Chain (LC) and a 100 kDa C-terminal Heavy Chain (HC) are linked by a single disulphide bond 3,4.
Tetanus toxin light chain holds the HEXXH zinc protease consensus motif and acts as a toxic part of toxin and zinc-dependent endopeptidase 5,6. Tetanus toxin HC is composed of the aminoterminal half (HN ∼50 kDa) which is important for LC translocation and the carboxyterminal half (HC or fragment C ∼50 kDa) which holds the key amino acid residues responsible for the binding activity of the CNTs 7. Fragment C or the carboxyterminal half of HC is further subdivided in two subdomains: the proximal HCN subdomain and the extreme carboxy subdomain, HCC. HCC subdomain has a key role in binding of CNTs to the neuron gangliosides 8,9.
All CNTs cleave the specific family of proteins integral to the exocytotic process (the soluble N-ethyl-maleimide-sensitive fusion (NSF) protein attachment receptor (SNARE) proteins) 10 and block neurotransmitter release and neurosecretion. Among the CNTs, TeNT inhibits the release of inhibitory neurotransmitter glycine and γ-aminobutyric acid through proteolytic cleavage of the neuronal SNARE protein synaptobrevin/ VAMP 2 5,11,12.
The humoral immune response plays a crucial role against tetanus and antibodies directed against multiple epitopes of TeNT involved in toxin neutralization 13. In this regard, production and characterization of different parts of tetanus toxin (especially LC and HCC subdomains) are important for understanding the intoxication mechanisms and also for production of neutralizing monoclonal antibodies.

 


Materials and Methods :
Bacterial strains: E. coli strains JM109, Top10F' and BL21 (DE3) (Novagen, Darmstadt, Germany) were cultured in LB agar containing 0.5% w/v yeast extract (Merck KGaA, Darmstadt, Germany), 1% w/v peptone (Merck KGaA, Darmstadt, Germany), 0.6% w/v NaCl and 1.5% w/v agar (Merck KGaA, Darmstadt, Germany). LB broth medium components were similar to LB agar except agar.
Construction and expression of the recombinant proteins: TeNT light chain and HCC subdomain of heavy chain were amplified from Clostridium tetani genomic DNA for construction of the recombinant proteins. Polymerase Chain Reaction (PCR) was performed using specific primers containing BamHI and HindIII restriction sites in both ends (shown as bold sequences): 5-GGATCCTATGCCAATAACCATAAATAATTTTAG-3 as sense and 5-AAGCTTTGCAGTTCTATTATATAAATTTTCTC-3 as antisense for LC and 5-GGATCCTTTATCTATAACCTTTTTAAGAGACTTC-3 as sense and 5-AAGCTTATCATTTGTCCATCCTTCATCTG-3 as anti-sense for HCC.
PCR reactions were performed in 25 µl volumes using 1 unit/reaction pfu DNA polymerase (Fermentas, Moscow, Russia), 2.5 µl of 10 X PCR buffer, 1.5 µl of 25 mM MgSO4 , 1.0 µl of dNTPs (10 mM) (Roche Applied Science, Indianapolis, USA), and 1 pmol of sense and anti-sense primers, respectively. Each amplification reaction underwent initial denaturation at 94°C for 5 min followed by 40 cycles at 94°C for 1 min, 54.7°C (light chain) and 57°C (HCC) for 1 min and 72°C for 1 min and 10 min at 72°C for the final extension. PCR products were finally visualized by electrophoresis over 1% agarose gel containing ethidium bromide. PCR products were extracted using the GF-1 Nucleic Acid Extraction Kit (Vivantis, Selangor Darul Ehsan, Malaysia). Gel-purified PCR products were directly cloned in pGEMT-easy cloning vector (Promega, Madison, USA) and transformed into E.coli JM109 or TOP10F' competent cells. Sequencing of selected clones was performed using a BigDye Terminator Cycle Sequencing Reaction Kit (Applied Biosystems, Foster City, CA), and T7 and SP6 primers. After confirmation of the selected clones by sequencing, inserts were digested with restriction endonucleases BamHI and HindIII (Fermentas, Moscow, Russia) and ligated in pET28b(+) expression vector (Merck Millipore, Darmstadt, Germany). pET28b(+) light chain or HCC constructs were transformed into (E. coli) BL21 (DE3) expression host. Positive clones were selected by colony-PCR. The colony-PCR was performed in 25 cycles using Taq DNA polymerase instead of pfu DNA polymerase. After confirmation by colony-PCR, transformed cells were grown in LB broth containing 50 μg/ml kanamycin; 1-5 mM IPTG (1, 2, 3, 4 and 5 mM) were used to induce protein production and finally after 2, 4 and 16 hr of incubation at 37°C, cells were harvested by centrifugation at 2000 g for 30 min at 4ºC.
Purification of the recombinant proteins: Purification of recombinant proteins was performed using Nickel-Nitrilotriacetic Acid (Ni-NTA) chromatography column (Qiagen, Germantown, Maryland, USA) under denaturing condition. In this regard, harvested bacterial pellets containing inclusion bodies were solubilized in 20 ml of lysis buffer (100 mM NaH2PO4, 100 mM NaCl, 30 mM TrisHCL, pH=8) and incubated on ice for 1 hr. This solution was continuously sonicated at 70% amplitude for 15 min for cell destruction and then centrifuged at 12000 g for 10 min at 4°C.
Pellets were resuspended in buffer A (100 mM NaH2PO4, 50 mM NaCl, 10 mM Tris-HCL, 30 mM imidazole, 8 M urea, pH=8) and incubated at room temperature for 1 hr. After centrifugation at 18000 g, for 30 min at 4°C, supernatants were applied as starting materials on Ni-NTA agarose (Qiagen, Germantown, Maryland, USA) column equilibrated with buffer A.
Refolding process was accomplished using a continuous declining gradient of urea concentration from 8 M to zero for 3 hr. Subsequently, buffer B (100 mM NaH2PO4, 50 mM NaCl, 10 mM Tris-HCL, 80 mM imidazole, pH=8) was used to detach nonspecific proteins from the column. Elution of target proteins was performed using buffer C (100 mM NaH2PO4, 50 mM NaCl, 10 mM Tris-HCL, 500 mM imidazole, pH=8). Finally, purity of target proteins was checked using SDS-PAGE and protein concentrations were determined using BCA colorimetric assay kit (Pierce, Rockford, IL, USA).
Western blot analysis: Non-reducing SDS-polyacrylamide gel electrophoresis (SDS-PAGE) of recombinant LC and HCC was carried out on a 12% polyacrylamide gel. Thereafter, proteins were transferred to PVDF or Nitrocellulose membranes (Merck KGaA, Darmstadt, Germany) at 100 V for 35 min using an electroblot system (BioRad, Hercules, California, USA).
After blocking the membrane with blocking buffer (PBS-T+5% non-fat skim milk) overnight at 4ºC, and then washing four times with PBS-T, human anti tetanus toxin polyclonal antibodies (prepared in our lab) were added at 10 µg/ml and the membrane was incubated with gentle rocking at RT for 1.5 hr. The membrane was then gently washed four times with PBS-T. After washing, HRP-conjugated sheep anti-human Ig solution (prepared in our lab) was added to membranes and incubation was performed under the same conditions of the primary antibodies. Finally each blot was developed using ECL detection kit (GE Healthcare Life Sciences, Uppsala, Sweden).
Characterization of recombinant HCC and LC proteins by ELISA: For final confirmation of the identity of recombinant HCC and LC proteins, ELISA was carried out using human anti-TeNT polyclonal and monoclonal antibodies, as described elsewhere 14. Briefly, ELISA plates were coated with appropriate concentration of recombinant HCC and LC (10 µg/ml), tetanus toxin (10 µg/ml) and toxoid (10 µg/ml) (Razi Vaccine and Serum Research Institute, Karaj, Iran) in Phosphate Buffer Saline (PBS, 0.15 M, pH=7.2) overnight at 4ºC. After washing, the plate was blocked using blocking buffer (PBS-Tween 20 containing 3% non-fat skim milk) at 37ºC for 1.5 hr. After blocking and washing, 100 µl of 1 µg/ml purified human polyclonal and mouse monoclonal antibodies were added separately and incubated for 1.5 hr at 37ºC. Appropriate dilution of HRP-conjugated rabbit anti-human and rabbit anti-mouse (prepared in our lab) was subsequently added and the reaction was revealed with 3, 3′,5,5′-Tetramethylbenzidine (TMB) substrate. Finally, the reaction was stopped with 20% H2SO4 and the optical density (OD) was measured by a multiscan ELISA reader (Organon Teknika, Boxtel, Belgium) at 450 nm.

 


Results :
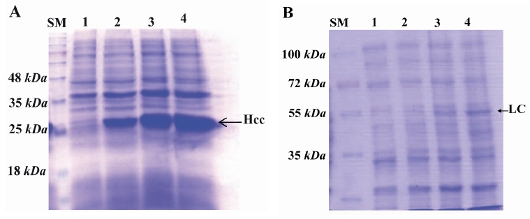
Construction and expression of recombinant light chain and HCC proteins: LC and HCC were amplified from Clostridium tetani genomic DNA by PCR. The amplified LC and HCC PCR product sizes, 1371 and 621 bp respectively, were confirmed using agarose gel electrophoresis (Figure 1A). Sequencing of both gene segments showed complete homology with the reference genome sequence of Clostridium tetani Harvard strain (NCBI Gene Bank accession number: M12739), (data not presented). Both genes were then cloned into pET28b(+) expression vector and the constructs were verified by sequencing and digestion using BamHI and HindIII restriction endonucleases (Figure 1B) before transformation into (E. coli) BL21(DE3) expression host. To optimize the induction protocol of the two recombinant proteins, different concentrations of IPTG (1, 2, 3, 4 and 5 mM), incubation times (from 1-16 hr) and incubation temperatures (25°C and 37°C) were applied. High levels of expression were obtained for HCC using 1 mM IPTG at 25°C and 8 hr of induction time in (E. coli) BL21 (DE3), (Figure 2A). Lower levels of expression were achieved for LC (Figure 2B) with no significant improvement despite changing all parameters of the induction protocol and application of different E. coli hosts including BL21 (DE3), Tuner and NovaBlue to optimize the expression conditions.
Structural characterization of the recombinant proteins: Ni-NTA purified proteins were checked by SDS-PAGE (Figures 3A and B). Eluted fractions of both HCC and LC proteins were almost devoid of contaminating proteins. To assess the identity and conformation of the purified proteins, immunoblotting and ELISA assays were performed using anti TeNT specific polyclonal and monoclonal antibodies. Our results demonstrated specific reactivity of recombinant HCC and LC with both polyclonal and monoclonal antibodies in immunoblotting (Figure 3C) and ELISA (Table 1) methods.

 


Discussion :
Clostridial neurotoxins belong to classical A-B type toxins by their principal mode of action including an enzymatically active component, "A" and cell binding component "B" 15,16.
Although molecular mechanism of TeNT toxicity is well characterized, the mechanism whereby TeNT binds to neurons requires more investigations. Several lines of evidence indicate that TeNT binding to its receptor depends on gangliosides (notably gangliosides of the 1 b series), and GPI-anchored glycoproteins 17-21. This gave direct support for involvement of a dual receptor mechanism in the binding of the TeNT in which gangliosides and glycosylated proteins such as synaptic vesicle proteins SV2A and SV2B are involved in TeNT binding. These components are present in both toxin-sensitive PC12 cells and spinal cord neurons 22. In this regards, application of recombinant DNA technology to produce different parts of TeNT could help to get better understanding of TeNT binding properties and neuronal activity.
In the present study, two recombinant fragments of TeNT were produced and purified. These two proteins play pivotal roles in intoxication and binding of TeNT to neuronal cells. LC cleaves the neuronal SNARE protein and blocks the release of inhibitory neurotransmitter which ultimately leads to spastic paralysis and HCC plays a key role in binding of TeNT to target cells 7. Our results showed that LC and HCC fragments were successfully expressed in (E. coli) BL21 (DE3) and efficiently purified by Ni-NTA chromatography. Recombinant HCC protein was expressed at high levels in (E. coli) BL21 (DE3) with approximately 25 kDa molecular weight (Figure 2A), whereas LC was only produced in very low amounts with approximately 50 kDa molecular weight (Figure 2B). These differences between LC and HCC expression may partly be explained by the fact that LC is the toxic part of TeNT and may have toxicity effect on growth of (E. coli) BL21(DE3). We proposed expression of LC using other expression vectors or expression systems such as yeast to overcome toxicity of the protein in (E. coli). In addition our results demonstrated that anti-TeNT polyclonal and monoclonal antibodies (mAbs) specifically react with recombinant LC and HCC proteins.
Two previously reported 14 anti TeNT light chain mAbs (1F3B3 and 1F3C3) recognized the recombinant LC whereas only one anti fragment C mAb (1F3E3) binds to recombinant HCC (Table 1). The second fragment C-specific mAb (1F2C2) failed to react with the HCC subdomain. This mAb may either recognize a conformational epitope requiring both HCC and HCN subdomains for its expression or an epitope expressed in only HCN subdomain of fragment C. Alternatively, it may recognize a conformational epitope on HCC which might be lost due to denaturation by 8 M urea. Although the purified protein was renatured by a gradient of urea during the purification process (see the Materials and Methods), refolding of the protein might have been incomplete.

 


Conclusion :
In conclusion, our results indicated successful cloning, production and structural characterization of LC and HCC subdomains. Investigation of the immunogenicity and immunoprotectivity of these fragments could extend our understanding about their implication for immunoprophylaxis and treatment of tetanus.

 


Acknowledgement :
We would like to thank Jalal Khoshnoodi and Ahmad Ali Bayat for their technical assistance.

 



Figure 1. PCR amplification and restriction enzyme digestion of light chain and HCC coding sequences. Agarose gel electrophoresis of PCR products of light chain and HCC fragments confirms their 1371 and 621 bp size, respectively; A) Double digestion of pET28b(+) light chain and HCC with BamHI and HindIII endonucleases indicates insertion of these two gene segments into the expression vector; B) SM: DNA size marker, bp: base pair
Figure 1. PCR amplification and restriction enzyme digestion of light chain and HCC coding sequences. Agarose gel electrophoresis of PCR products of light chain and HCC fragments confirms their 1371 and 621 bp size, respectively; A) Double digestion of pET28b(+) light chain and HCC with BamHI and HindIII endonucleases indicates insertion of these two gene segments into the expression vector; B) SM: DNA size marker, bp: base pair




Figure 2. Induction of expression of HCC; A) and light chain; B) proteins in E. coli BL21 (DE3). 1 mM IPTG was added to a logarithmic liquid culture of transformed bacteria when OD600 nm was 0.6. Pre-induction (1) and post-induction samples were collected after 2 hr (2), 4 hr (3) and overnight (4) culture and run on 12% SDS-PAGE followed by Coomassie blue staining. The arrow in the gel shows the expressed protein with the expected molecular weight (~25 and 50 kDa, respectively); SM: protein size marker
Figure 2. Induction of expression of HCC; A) and light chain; B) proteins in E. coli BL21 (DE3). 1 mM IPTG was added to a logarithmic liquid culture of transformed bacteria when OD600 nm was 0.6. Pre-induction (1) and post-induction samples were collected after 2 hr (2), 4 hr (3) and overnight (4) culture and run on 12% SDS-PAGE followed by Coomassie blue staining. The arrow in the gel shows the expressed protein with the expected molecular weight (~25 and 50 kDa, respectively); SM: protein size marker




Figure 3. SDS-PAGE electrophoresis; A and B) and im-munoblotting; C) profiles of the purified recombinant light chain and HCC proteins. The samples were run on 10-12% polyacrylamide gel and stained with Coomassie blue. Im-munoblotting of HCC and LC fragments were performed using human anti-TeNT polyclonal antibodies produced in our lab; C) SM: protein size marker, E1-E7: different fractions of proteins eluted by 500 mM imidazole from Ni-NTA column
Figure 3. SDS-PAGE electrophoresis; A and B) and im-munoblotting; C) profiles of the purified recombinant light chain and HCC proteins. The samples were run on 10-12% polyacrylamide gel and stained with Coomassie blue. Im-munoblotting of HCC and LC fragments were performed using human anti-TeNT polyclonal antibodies produced in our lab; C) SM: protein size marker, E1-E7: different fractions of proteins eluted by 500 mM imidazole from Ni-NTA column




Table 1. Reactivity of anti-TeNT monoclonal and polyclonal antibodies to tetanus toxin, toxoid, fragment C, recombinant HCC (rHCC) and recombinant light chain (rLC). The results represent OD values obtained at 450 nm by ELISA method
Table 1. Reactivity of anti-TeNT monoclonal and polyclonal antibodies to tetanus toxin, toxoid, fragment C, recombinant HCC (rHCC) and recombinant light chain (rLC). The results represent OD values obtained at 450 nm by ELISA method





References :
  1. Ataro PD, Mushatt D, Ahsan S. Tetanus: a review. South Med J 2011;104(8):613-617.
  2. alli G, Bohnert S, Deinhardt K, Verastegui C, Schiavo G. The journey of tetanus and botulinum neurotoxins in neurons. Trends Microbiol 2003;11(9):431-437.
  3. Schiavo G, Rossetto O, Montecucco C. Clostridial neurotoxins as tools to investigate the molecular events of neurotransmitter release. Semin Cell Biol 1994;5(4):221-229.
  4. Schiavo G, Papini E, Genna G, Montecucco C. An intact interchain disulfide bond is required for the neurotoxicity of tetanus toxin. Infect Immun 1990;58(12):4136-4141.
  5. Jahn R, Niemann H. Molecular mechanisms of clostridial neurotoxins. Ann NY Acad ScI 1994;733(1):245-255.
  6. Lacy DB, Tepp W, Cohen AC, DasGupta BR, Stevens RC. Crystal structure of botulinum neurotoxin type A and implications for toxicity. Nat Struct Biol 1998;5(10):898-902.
  7. Swaminathan S, Eswaramoorthy S. Structural analysis of the catalytic and binding sites of Clostridium botulinum neurotoxin B. Nat Struct Biol 2000;7(8):693-699.
  8. Schiavo G, Matteoli M, Montecucco C. Neurotoxins affecting neuroexocytosis. Physiol Rev 2000;80(2):717-766.
  9. Montecucco C, Schiavo G. Structure and function of tetanus and botulinum neurotoxins. Q Rev Biophys 1995;28(04):423-472.
  10. Grumelli C, Verderio C, Pozzi D, Rossetto O, Montecucco C, Matteoli M. Internalization and mechanism of action of clostridial toxins in neurons. Neurotoxicology 2005;26(5):761-767.
  11. Galazka A, Gasse F. The present status of tetanus and tetanus vaccination. Curr Top Microbiol Immunol 1995;195:31.
  12. Chen C, Fu Z, Kim JJ, Barbieri JT, Baldwin MR. Gangliosides as high affinity receptors for tetanus neurotoxin. J Biol Chem 2009;284(39):26569-26577.
  13. Lang AB, Cryz SJ Jr, Schürch U, Ganss MT, Bruderer U. Immunotherapy with human monoclonal antibodies. Fragment A specificity of polyclonal and monoclonal antibodies is crucial for full protection against tetanus toxin. J Immunol 1993;151(1):466-472.
  14. Yousefi M, Tahmasebi F, Younesi V, Razavi A, Khoshnoodi J, Bayat AA, et al. Characterization of neutralizing monoclonal antibodies directed against tetanus toxin fragment C. J Immunotoxicolo 2013;1-7.
  15. Yoon TY, Shin YK. Progress in understanding the neuronal SNARE function and its regulation. Cell Mol Life Sci 2009;66(3):460-469.
  16. Chaddock J, Marks PM. Clostridial neurotoxins: structure-function led design of new therapeutics. Cell Mol Life Sci 2006; 63(5):540-551.
  17. Singh BR, Thirunavukkarasu N, Ghosal K, Ravichandran E, Kukreja R, Cai S, et al. Clostridial neurotoxins as a drug delivery vehicle targeting nervous system. Biochimie 2010;92(9):1252-1259.
  18. Herreros J, Lalli G, Montecucco C, Schiavo G. Tetanus toxin fragment C binds to a protein present in neuronal cell lines and motoneurons. J Neurochem 2000;74(5):1941-1950.
  19. Herreros J, Ng T, Schiavo G. Lipid rafts act as specialized domains for tetanus toxin binding and internalization into neurons. Mol Biol Cell 2001;12(10):2947-2960.
  20. Herreros J, Lalli G, Montecucco C, Schiavo G. Tetanus toxin fragment C binds to a protein present in neuronal cell lines and motoneurons. J Neurochem 2008;74(5):1941-1950.
  21. Montecucco C, Rossetto O, Schiavo G. Presynaptic receptor arrays for clostridial neurotoxins. Trends Microbiol 2004;12(10):442-446.
  22. Yeh FL, Dong M, Yao J, Tepp WH, Lin G, Johnson EA, et al. SV2 mediates entry of tetanus neurotoxin into central neurons. PLoS Pathogens 2010;6(11):e1001207.
  23. Swaminathan S. Molecular structures and functional relationships in clostridial neurotoxins. FEBS J 2011;278(23):4467-4485.